Исследовательская компания IDC в очередной раз пересмотрела прогноз падения украинского рынка настольных и мобильных компьютеров. Согласно скорректированному прогнозу IDC в 2014 году в нашу страну будет поставлено вдвое меньше настольных ПК...Детальніше... Додати коментар
Производитель всемирно известных водонепроницаемых и ударопрочных фотокамер GoPro уже в следующем году может заняться выпуском дронов.Как сообщает источник, дроны GoPro будут оснащаться несколькими винтами и переносить камеры высокой четкости. Вероятнее...
Как сообщает ресурс DigiTimes, ссылаясь на источники среди поставщиков, производители планшетов намерены сократить количество новых устройств, которые планируется выпустить в следующем году.В нынешней ситуации продажа планшетов не приносит большой прибыли....
Сентябрьская IFA2014 порадовала поклонников Windows Phone анонсом двух смартфонов среднего сегмента – Lumia 830 и 730. Сделка по покупке Nokia компанией Microsoft завершилась немного позже, а недавно мы узнали, что надпись...
Недавно опубликованный финансовый отчет Samsung зафиксировал существенное снижение квартальной прибыли. Это стало следствием спада продаж мобильных устройств, телевизоров и ЖК-панелей. В результате, стоимость акций компании начала снижаться. С начала этого года...
Технологии 3D-печати постепенно развиваются и осваивают все новые просторы. Одним из последних достижений в этой сфере стало создание объекта методом 3D-печати на борту Международной космической станции (МКС).3D-принтер NASA был разработан...
Компания OLYMPUS объявляет об открытии своего интернет-магазина в Украине. С 26 ноября на сайте shop.olympus.ua потребители смогут приобрести качественную фототехнику, аксессуары к цифровым камерам и прочую технику OLYMPUS. Первые покупатели камер...
Сегодня, 25 ноября 2014 года исполняется ровно два года, как была официально запущена Партнерская программа YouTube в Украине. За это время в нашей стране появился целый ряд интересных проектов, которые нашли...
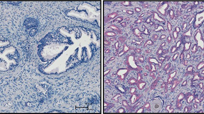
В распространении рака простаты участвует одна определенная молекула, которая критически важна для этого процесса. Названная учёными SRPK1, это образование позволяет опухоли генерировать новые кровеносные сосуды и инициирует рост. Исследование, проводимое в...
В это время в прошлом году компания Woojer запускала программу для сбора средств на главном краудфандинговом ресурсе, чтобы реализовать свой новый проект. Вместо того, чтобы просто как-то улучшить процесс вывода музыки...
Фасады зданий часто проектируется исключительно с намерением сделать их эстетически приятным. Иногда, тем не менее, их цель состоит в том, чтобы обеспечить защитную функцию помимо красивой формы. Это в основном обеспечивается...
Это – классическая ситуация: семья смотрит телевизор, но для бабушки и дедушки выбранной громкости недостаточно, чтобы быть в состоянии услышать его, поэтому они просят поднять громкость почти до максимума, что вызывает...
Знаменитое Большое Красное Пятно – это тот отличительный признак, делающий планету Юпитер одной из самых легко распознаваемых во всей нашей солнечной системе. И до недавнего времени широко распространённым было мнение, что...